Gallery
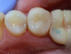
Case 1 – Amalgam Filling
This unsightly amalgam filling was replaced by a very natural looking composite filling by Dr Kiki Norman.

Before
After
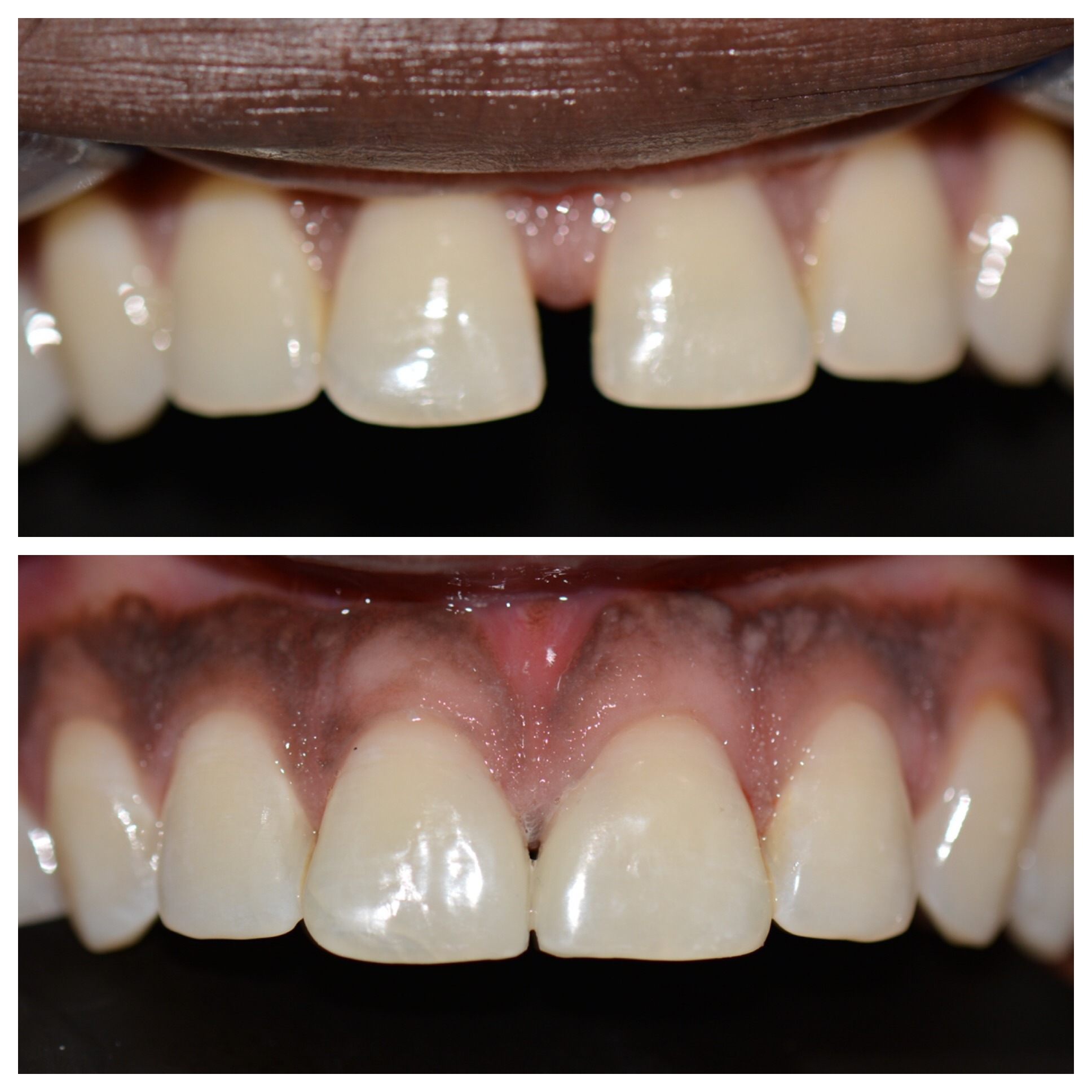
Case 2 – Composite bonding
Composite bonding was used to fill the gaps which this patient disliked. This was done using a layered technique for a natural result in a single visit with no drilling of natural tooth tissue by Dr Kiki Norman.
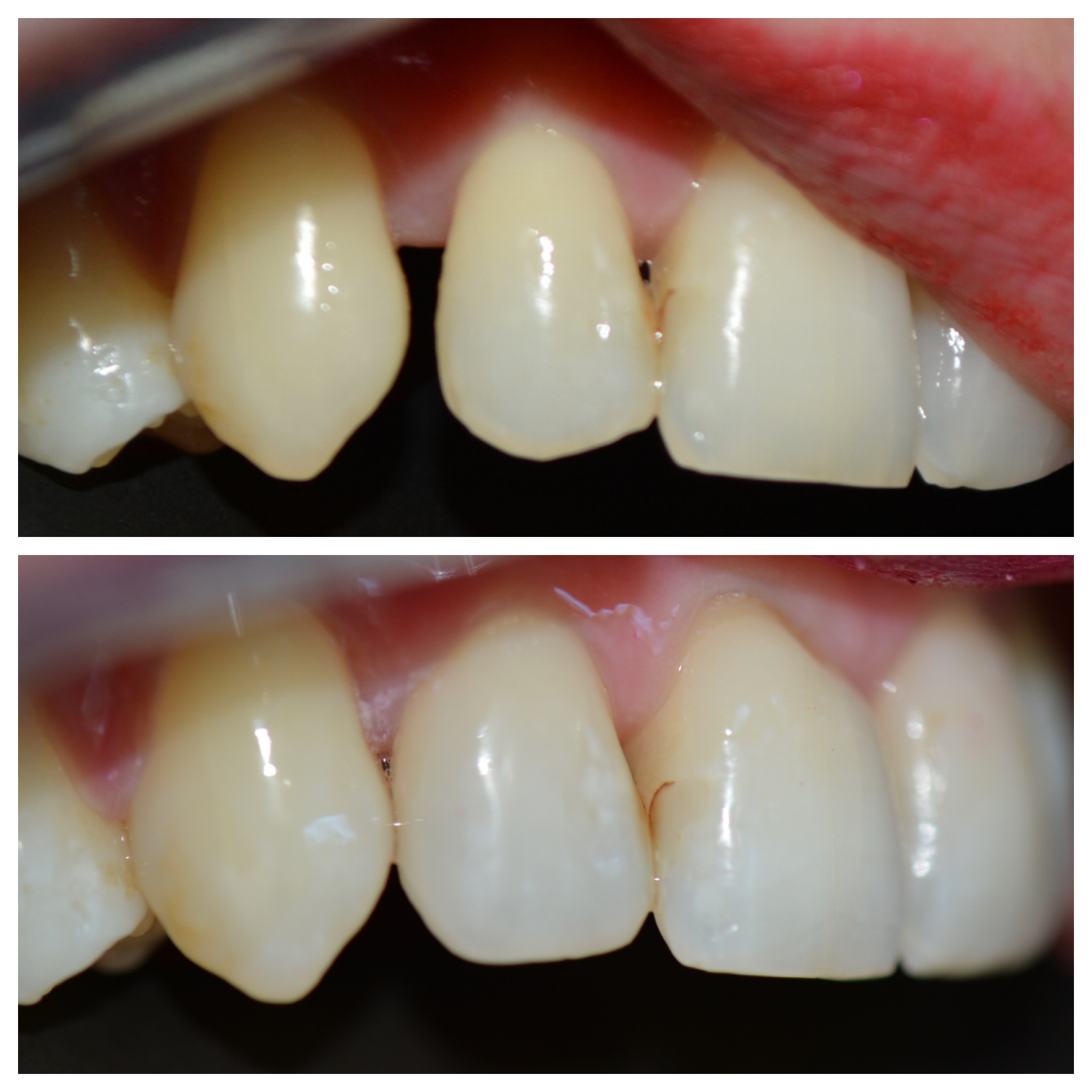
Case 3 – Composite bonding
Composite bonding was done to make this patient’s teeth appear larger and more straight. This was done in a single visit with no drilling of the natural tooth by Dr Kiki Norman.
Case 4 – Composite bonding
Composite bonding was used by Dr Kiki Norman to close this patient’s gap. This was done using a layered technique for a natural appearance in one visit with no drilling of the natural tooth.
Case 5 – Composite bonding
Composite bonding was used to close this patient’s gap. This was done by Dr Kiki Norman using a layered technique for a natural appearance.











